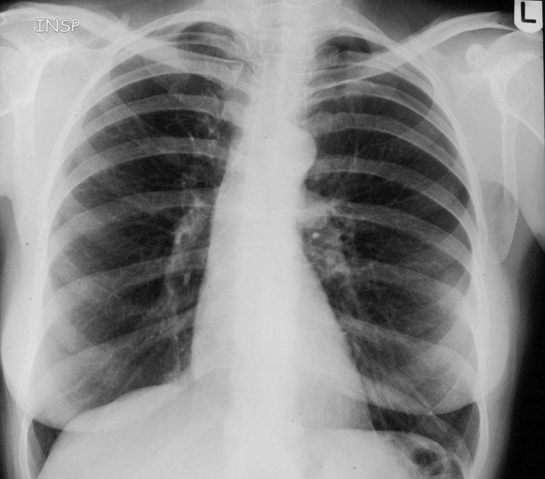
Figure 1From: Pneumothorax after a clinical breast fine-needle aspiration of a lump in a patient with Poland's syndromeCXR in inspiration showing left sided small pneumothorax.Back to article page